拡大床 を用いた 子供の歯並び 叢生 の 小児矯正治療 床矯正 尼崎市 立花駅 はまうらパーク歯科・矯正歯科
2023年9月8日

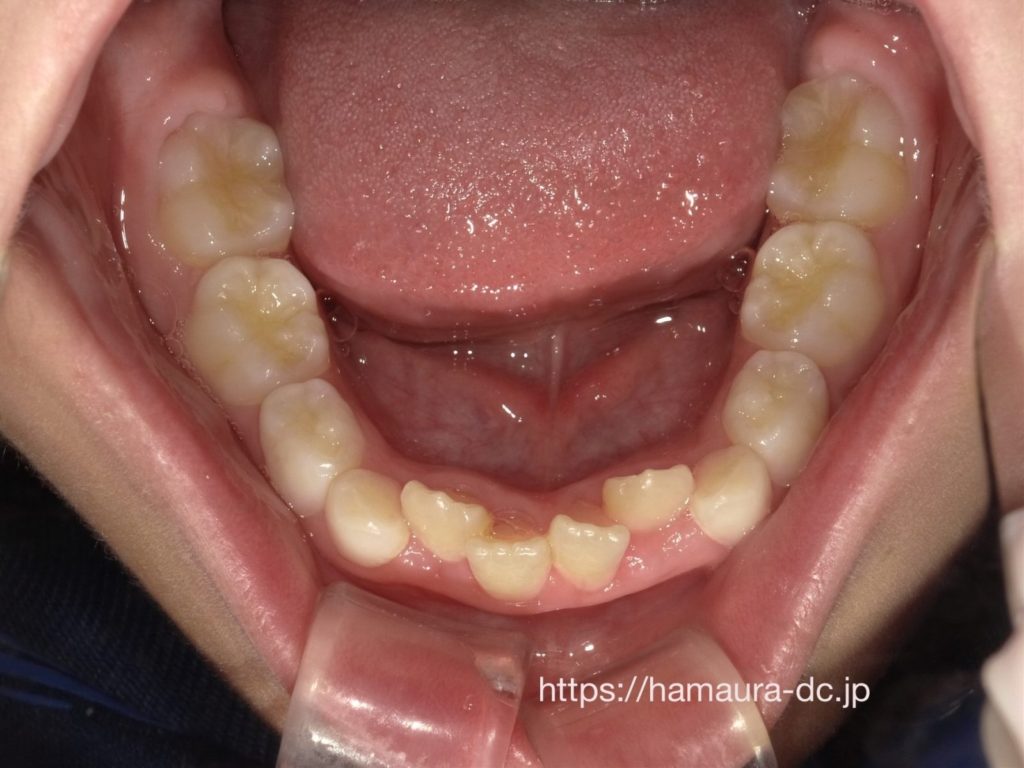
拡大床を使用して歯並び(叢生)を矯正したケース
治療費:¥495000(税込)
治療期間:8歳から始めて2年
下顎の前歯の重なりは改善し、治療後2年経った今も後戻りせず安定した歯ならびを維持しています。
※治療中は口内炎や知覚過敏の副作用、治療後はリテーナーを装着しないと後戻りしてしまうリスクがあります
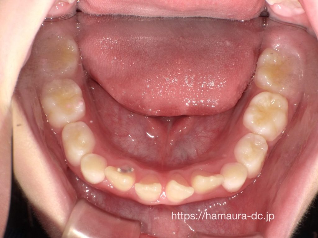
2023年9月8日

拡大床を使用して歯並び(叢生)を矯正したケース
治療費:¥495000(税込)
治療期間:8歳から始めて2年
下顎の前歯の重なりは改善し、治療後2年経った今も後戻りせず安定した歯ならびを維持しています。
※治療中は口内炎や知覚過敏の副作用、治療後はリテーナーを装着しないと後戻りしてしまうリスクがあります
2023年9月8日


拡大床を使用して歯並び(受け口・叢生)を矯正で改善したケース
治療費:¥495000(税込)
治療期間:5歳から始めて5年
下顎の前歯6本分が上の前歯より前にある、いわゆる受け口となっています。
前に前歯の重なりは改善し、治療後2年経った今も後戻りせず安定した歯ならびを維持しています。
※治療中は口内炎や知覚過敏の副作用、治療後はリテーナーを装着しないと後戻りしてしまうリスクがあります。
受け口や反対咬合は、早期に治療を開始することが望ましいと言われています。
特に、噛み合わせは受け口だけど顔つきに問題が無い場合は、機能性に(癖が残って)受け口となっているだけのことがほとんどです。
そういった場合は早期に改善することができる場合があります。
また、受け口は治療後も後戻りしやすいため、長期的に観察する必要があります。
2023年9月8日


拡大床を使用して歯並び(受け口・叢生)を矯正したケース
治療費:¥495000(税込)
治療期間:8歳から始めて1年
下顎の前歯4本分が上の前歯より前にある、いわゆる受け口となっています。
前に前歯の重なりは改善し、治療後1年経った今も後戻りせず安定した歯ならびを維持しています。
※治療中は口内炎や知覚過敏の副作用、治療後はリテーナーを装着しないと後戻りしてしまうリスクがあります。
受け口や反対咬合は、早期に治療を開始することが望ましいと言われています。
特に、噛み合わせは受け口だけど顔つきに問題が無い場合は、機能性に(癖が残って)受け口となっているだけのことがほとんどです。
そういった場合は早期に改善することができる場合があります。
また、受け口は治療後も後戻りしやすいため、長期的に観察する必要があります。
2023年9月7日

拡大床を使用して歯並び(受け口)を矯正したケース
治療費:¥495000(税込)
治療期間:5歳から始めて2年
下顎の前歯3本が上の前歯より前にある受け口の状態でしたが、現在は安定した歯ならびを維持しています。歯と歯の間にもスペースがあり、永久歯が放出する十分な余裕があります。
受け口や反対咬合は、早期に治療を開始することが望ましいと言われています。
特に、噛み合わせは受け口だけど、顔つきに問題が無い場合は、機能性に(癖が残って)受け口となっているだけのことがほとんどです。
そういった場合は早期に改善することができる場合があります。
※治療中は口内炎や知覚過敏の副作用、治療後はリテーナーを装着しないと後戻りしてしまうリスクがあります
2023年9月7日

拡大床を使用して歯並び(叢生)を矯正したケース
治療費:¥495000(税込)
治療期間:9歳から始めて2年
上下ともに永久歯の強い重なりがありましたが、現在は上下顎の前歯の重なりは改善し、スペースのある歯並びをしています。
※治療中は口内炎や知覚過敏の副作用、治療後はリテーナーを装着しないと後戻りしてしまうリスクがあります
2023年9月7日

拡大床を使用して歯並び(叢生)を矯正したケース
治療費:¥495000(税込)
治療期間:7歳から始めて2年
上下ともに、歯の並びが整っています。
※治療中は口内炎や知覚過敏の副作用、治療後はリテーナーを装着しないと後戻りしてしまうリスクがあります。
2023年8月18日
「歯が重なってきた…これ大丈夫?」
・前歯が重なっている
・歯がねじれて生えている
・ガタガタしてきた
このような状態は
👉 歯が並ぶスペースが足りていないサインです
この症例の状態

このお子さまは
・下の前歯の重なりが強い
・上の前歯も曲がって生えている
状態でした
このまま放置すると
👉 さらに歯並びが悪化し
👉 将来的に抜歯が必要になる可能性があります
なぜ歯がガタガタになるのか?
原因はシンプルで
👉 顎の大きさに対して歯が大きい(スペース不足)
です
そのため
👉 行き場のない歯が重なってしまいます
治療方法:拡大床
今回のケースでは
👉 拡大床を使用して顎を広げる治療を行いました
拡大床は
・取り外しができる
・少しずつ顎を広げる
・自然な成長を利用する
装置です
なぜ子どもの時期が重要なのか
子どもの場合
👉 顎の骨がまだ柔らかく、成長に合わせて広げることができる
ため、将来
・歯を抜かずに治療できる
・自然な歯並びになる
可能性が高くなります
治療後

顎を広げることで
👉 前歯の重なりが改善し
👉 歯が並ぶスペースが確保されました
現在は安定した歯並びを維持しています
治療期間について
この症例では
👉 7歳から治療を開始し、約3年で改善しました
拡大床のメリット
・歯を抜かずに治療できる可能性が高い
・自然な成長を利用できる
・将来の矯正が軽くなる
放置するとどうなる?
このような歯並びを放置すると
・さらにガタガタが悪化
・噛み合わせの問題
・将来抜歯矯正になる
👉 早期対応がとても重要です
リスク・注意点
・装置による口内炎
・知覚過敏
・装置を使用しないと効果が出にくい
・治療後はリテーナーが必要
このようなお子さまはご相談ください
・歯が重なっている
・歯並びがガタガタしている
・前歯がねじれている
まとめ
子どもの歯並びは
👉 「ガタガタしてきた時点で要注意」
です
拡大床は
👉 歯を抜かずに並べるための重要な治療方法
です
尼崎市 JR立花駅すぐ
はまうらパーク歯科・矯正歯科
2023年8月17日
「歯並びはキレイに見えるけど大丈夫?」
一見、歯並びがキレイに見えても
・永久歯が生えるスペースが足りない
・これから歯並びが悪くなる可能性がある
というケースは非常に多いです。
この症例の問題点

このお子さまは、一見きれいに見える歯並びでしたが
👉 永久歯が並ぶためのスペースが不足していました
このまま放置すると
・歯がガタガタになる
・抜歯が必要になる
可能性があります。
治療方法:拡大床とは?
拡大床とは
👉 顎を少しずつ広げて、歯が並ぶスペースを作る装置
です。
取り外しが可能で
👉 子どもの成長を利用して治療できるのが特徴です
なぜ子どもの時期が重要なのか?
子どもの場合
👉 顎の骨がまだ柔らかく、広げることができる
ため
・歯を抜かずに並べられる
・自然な歯並びになる
可能性が高くなります。
治療後

拡大床を使用することで
👉 歯列が広がり、永久歯が並ぶスペースを確保できました
拡大床のメリット
・歯を抜かずに矯正できる可能性が高い
・自然な成長を利用できる
・将来の矯正が軽くなる
逆に、やらないとどうなる?
タイミングを逃すと
・抜歯矯正になる
・ワイヤー矯正が必要になる
・治療期間が長くなる
👉 「早く知っていれば防げた」というケースが多いです
治療期間・費用
治療期間:約2年
治療費:550,000円(税込)
リスク・注意点
・装置による口内炎
・知覚過敏
・装置を使用しないと効果が出にくい
・治療後に後戻りの可能性(リテーナー必要)
このようなお子さまはご相談ください
・歯が並ぶスペースがなさそう
・前歯が重なっている
・将来の歯並びが心配
無料相談のご案内
当院では小児矯正の相談を行っています
・治療が必要かどうか
・いつ始めるべきか
・どの方法が最適か
を分かりやすくご説明します
まとめ
子どもの歯並びは
👉 「見た目がきれい=問題なし」ではありません
重要なのは
👉 将来のスペースが足りているかどうか
です
拡大床は
👉 歯を抜かずに並べるための重要な治療法です
尼崎市 JR立花駅すぐ
はまうらパーク歯科・矯正歯科
2021年12月22日
実はこの段階での判断が
👉 将来の歯並び・抜歯の有無を大きく左右します
初診時

下の前歯が重なっている状態でした。
このまま放置すると
👉 永久歯が並ぶスペースが不足
👉 将来的に抜歯が必要になる可能性
があります。
子どもの時期は
👉 顎の成長をコントロールできる唯一のタイミング
です。
この時期を逃すと
ケースが増えてしまいます。
今回は
👉 歯を抜かずにスペースを作る治療
を選択しました。
装置の特徴
約1年後

歯の重なりが改善し
👉 自然に並ぶスペースが確保されました
① 抜歯を避けられる可能性が高い
② 見た目・かみ合わせが整う
③ 将来の矯正が軽くなる(または不要になる)
👉 「今は問題ない」が一番危険です
当院では
👉 小児矯正の無料相談を行っています
を分かりやすくご説明します。
Q. まだ様子見でも大丈夫ですか?
👉 ケースによりますが、早めのチェックが重要です
Q. 痛みはありますか?
👉 強い痛みはほとんどありません
Q. 子どもが嫌がらないか心配です
👉 無理なく続けられる方法をご提案します
■ 治療期間
約1〜2年
■ 費用
55万円(税込)
※調整料:(約800〜2000円)
■ リスク
使用時間により効果が変わる
成長により結果が左右される
👉 「早く気づいた人だけが得をする分野」
です。
「まだ大丈夫かな?」と思った時が
👉 一番良いタイミングです。
📍 尼崎市 JR立花駅すぐ
はまうらパーク歯科・矯正歯科
当院では、患者さんが抱えていらっしゃるお口のお悩みや疑問・不安などにお応えする機会を設けております。どんなことでも構いませんので、私たちにお話ししていただけたらと思います。
ご興味がある方は下記からお問い合わせください。
